0071-2020-0068
(05.07.2020, Středočeský kraj) lanýž letní
pro všechny uživatele
Projekty: Výzkum CHKO Český kras
Popis nálezu
Houby nerostly. Nález byl vyhrabán zvěří na holé zemi. V sousedství byly další 2, již plesnivé plodnice. Po odebrání miniaturního kousku pro mikroskopování, byl nález ponechám na místě.
Největší plodnice byla 30 x 20 mm velká. Pokrytá po celém povrchu tvrdými, několikahrannými, na sebe navazujícími, tmavě hnědými, šupinami. Ty jsou 2 - 6 mm v průměru. Literatura - 10 mm. Dužnina je mramorovaná, ve světle okrovém podkladu jsou patrné bílé žilky. Bez vůně či pachu. Staré plodnice byly cítit jako zavadající bělolanýž obecný.
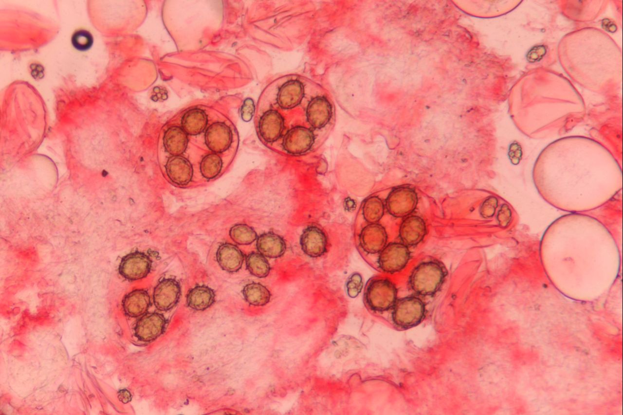
Vřecka jsou kulovitá se stopkou 70 - 100 x 60 - 70 µm. Se 2 - 6 výtrusy. Nejvíce 4 - 5.
Výtrusy jsou elipsoidní až široce elipsoidní s ornamentem tvořící po celém povrchu nepravidelnou síť. Ornamenty jsou 3 - 4 µm vysoké. Výtrusy byly měřeny bez sítě 26 - 40 x 20 - 28 µm. Velikost výtrusů záleží na tom, kolik se jich ve vřecku nachází.
Vzhledem tomu, že je to chráněná houba, nebyl sebrán na exikát.
Záměna možná s jinými lanýži, od nichž se liší velikostí šupin a mikroznaky.
Diskuse
Při mých cestách jsem je viděl prodávat na trzích v Budapešti a Mnichově. V Mnichově to byl dovoz z Itálie, kde není chráněný. Tam vůni měly. Každá plodnice byla prodávána v krabičce, každá zvlášť, jako šperk. Na vůni má, asi, vliv teplé počasí.
Související taxony
lanýž letní (Tuber aestivum)
Vytvořeno: 07.07.2020
Poslední aktualizace: 11.07.2020






