0071-2020-0022
(09.05.2020, Středočeský kraj) loupavka podobná
pro všechny uživatele
Popis nálezu
Houby nerostly. Pořádný sprch vody byl až další týden. Nález byl učiněn jako první pokus, po rozhrabání substrátu, cíleně veden pro nalezení podzemek. První vyhrání z kapsy vyhání. Další velký počet pokusů byl neúspěšný.
Plodnice kulovité až hlíznaté, největší do 15mm v průměru. Hladké, bílé, na vzduchu, po chvíli béžoví. Okrovka je částečně volná a slupitelná. Teřich se znatelným, bílým sloupkem, vnitřek je rosolovitě pružný, pórovitý s komůrkami a mezistěnami. Bělavý až okrově narůžovělý (béžový), ve zralosti hnědý.
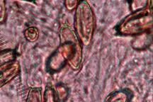
Bazidie 2 - 4 spórické. Výtrusy elipsoidní - protáhle vřetenovité, světlé, na bázi se zbytkem stopek, ty jsou 1 - 2 µm dlouhé. Celé jsou pokryty průsvitným bradavčitým obalem - peristomem. (13) 14,5 - 19 x 6 - 7 µm velké.
Diskuse
Houby byly v terénu určeny jako nějaká hlíza (Hymenogaster). Houba je synonymizována s Hysterangium rubricatum a po ní má i české jméno loupavka červenavá. Podle S.Valdy je typická béžová barva, kterou jiné loupavky nemají. Typické plodnice tohoto druhu jsou ve zdejším atlasu.
Související taxony
loupavka podobná (Hysterangium pompholyx)
Vytvořeno: 13.05.2020
Poslední aktualizace: 14.05.2020








