Atlas hub / Nálezy

0071-2019-0031
(30.05.2019, Jihočeský kraj) helmovka zelenobřitá
pro všechny uživatele

Popis nálezu

Nalezeno na zetlelém zbytku smrkového pařezu.

Klobouk do 30mm v průměru, sklenutý, čárkovaný v místě lupenů, hnědoolivový, u okraje světlejší. Lupeny bělavé, ne příliš husté, u okraje klobouku se zeleným ostřím. Třeň 80 x 4 mm, jako střed klobouku zbarvený. Vůně trochu nitrózní.

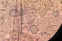
Bazidie tetraspórické 27 - 32 x 8µm.Výtrusy J+, hladké, široce elipsovité, hyalinní, 7,5 - 10,5 x 6 - 7,5µm.

Nápadné cheilocystidy.

Související taxony

helmovka zelenobřitá (Mycena viridimarginata)

foto Oldřich Jindřich foto Oldřich Jindřich cheilocystidy výtrusy výtrusy bazidie

Vytvořeno: 14.06.2019
Poslední aktualizace: 15.06.2019